Off My Feet, Back to Blogging?

X-Ray

Off My Feet, Back to Blogging?

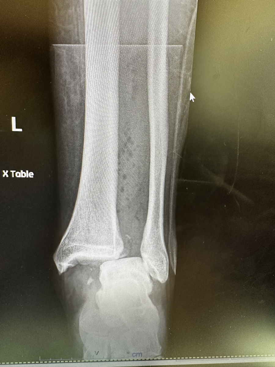
X-Ray of a fractured ankle.

So Christmas this year was a bit more eventful that we had planned. It started as expected, with an excited five year old getting out of bed well before dawn and shrieking with joy when she discovered her milk, cookies, and carrots had all been consumed by Santa and his helpers.  Coffee was made for the bleary eyed parents and the opening of presents was comensed and finished by 7:30 AM.  

For once, I decided to be a considerate human and rounded up all the wrapping paper trash and took it out to our trash cans.  As I was stepping down a small embankment to get to my trash cans, my right leg slipped out in front of me in the snow and my back leg folded up behind me in ways I instantly knew was wrong.  I called my wife to come out and she pointed out my I was bleeding from my ankle, so yeah, compound fracture at that.

Thankfully, the Fire Department picked me up in no time flat and by 8 AM I was in the emergency room.  X-rays showed that I had broken my tibia down at the ankle joint s well as my fibula up closer to my knee.  By 11 AM I was being rolled into surgery, with a slight worry that my surgeon my be a bit annoyed at being brought in on Christmas Day.  However, the surgery went well after a couple of days, I was sent home to start what would be a long recovery . . .

X-Ray of a fractured ankle with hardware installed.

Thankfully, so far things have gone well and I’m out of my cast and into a much more comfortable walking boot.  But I still have atleast another month of being non-weight bearing and even then it will take several more weeks before I will be really starting to get around.  So my view has gotten a bit smaller than it used to be and I’ve got more downtime than I’m used to.  So far I’m filling it with a bunch of long ignored home paperwork, guitar lessons and playing in my new group, the Broken Leg Band.

However, one thing I haven’t done in ages is any sort of writing.  I was reviewing the blog and realized I kind of dropped the whole travelogue series years before we came off the road.  So I’m going to try to start reviving some posts capturing some of the highlights of our five years on the road.  I know the site needs some serious design updates as well.   In any case, I’m hoping a little reminicing will help change this view . . .

Photo of my leg in a cast.

into this . . .

Photo of my daugher and I hiking in the mountains with her in a backpack looking forward.

See also